Chirurgie guidée: guide à étages
cours 1 journée avec chirurgies en directe
Organized by
Detailed program
journée de formation avec chirurgies en direct
08h45 Accueil à la clinique : PRAXISKLINIK AM WASSERTURM
09h00 Présentation des chirurgies du matin
09h15-12h30 Chirurgies retransmises et commentées en direct:
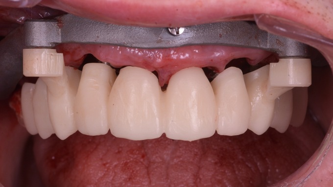
Chirurgie guidée par guide à etages
- Fixation de l’étage de base avec l’étage de positionnement dentaire
-Extractions des dents
-Forage implantaire avec la trousse Atlas Surgery 2 par le guide chirurgical
-Mise en place des piliers coniques
-Connexion à la restauration provisoire
12h30-13h30 Pause déjeuner :
Au Restaurant Chère Amie
13h30-16h Cours/Exposé :
Indication des guides à etages
Plateforme de commande
Projet esthétique
Planification implantaire
Connexion de la restauration provisoire
Gestion des complications
16h00 Pause
16h30-18h00 Travaux pratiques :
Gestion complète d’un cas de guide à étages grâce à des modèles sur mesures
18h00 Débriefing
Links and documents
Contact
- KELLER Pierre
- 26a Avenue de la Forêt-Noire67000 StrasbourgFrance
Comments
No comments yet



