Régénération parodontale par approche muco-gingivale
Organized by
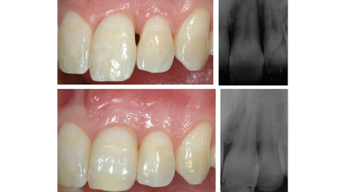
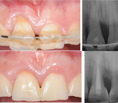
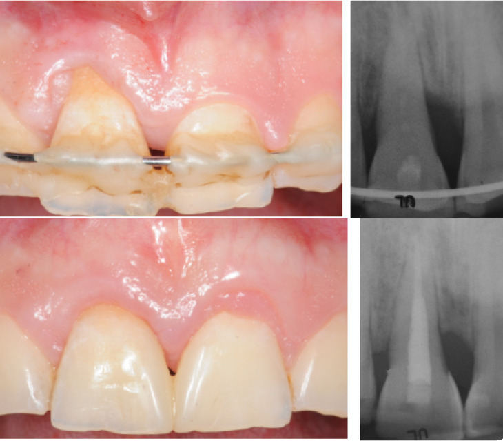
Traditionnellement, les résultats d’une thérapeutique de régénération parodontale étaient évalués par le comblement du défaut osseux d’un point de vue radiographique et par le gain d'attache clinique.
Aujourd'hui, au niveau des zones esthétiques, ces aspects ne suffisent plus. L'amélioration de l'esthétique des tissus mous associée à la régénération parodontale, est primordiale.
Une nouvelle procédure, combinant une technique de préservation papillaire avec greffe de tissu conjonctif et lambeau déplacé coronairement, sera présentée. La greffe de tissu conjonctif joue le rôle de paroi vestibulaire du défaut intra-osseux, traité par apport d’amélogénines, augmentant ainsi la stabilité du caillot
sanguin pour favoriser la régénération parodontale et améliorer le résultat esthétique.
Les facteurs décisionnels dans le choix de la thérapeutique (régénération ou extraction) liés aux tissus mous seront détaillés. Les objectifs pédagogiques de cette formation seront de répondre aux questions suivantes :
1) Quels sont les facteurs pronostiques de succès de la thérapeutique de régénération ?
2) Quels sont les critères permettant de déterminer s'il convient de conserver une dent présentant un défaut intra-osseux ou de l'extraire ?
3) Est-il réellement possible d'améliorer les résultats esthétiques lors d’une chirurgie de régénération?
Contact
- BORDET Emilie
Comments
No comments yet



